Review Article
Open bite malocclusion: An overview

Mohamed Abdul Wajid1, Pratik Chandra2, Rohit Kulshrestha3*, Kamlesh Singh4, Ramji Rastogi5 and Vinay Umale6
1Consulting Orthodontist, Private Practice, Hyderabad, India2Reader, Department of Orthodontics and Dentofacial Orthopedics, Saraswati Dental College, Lucknow, Uttar Pradesh, India
3Consulting Orthodontist, Private Practice, Mumbai, India
4Professor, Department of Orthodontics and Dentofacial Orthopedics, Saraswati Dental College, Lucknow, Uttar Pradesh, India
5Post Graduate Student, Department of Orthodontics and Dentofacial Orthopedics, Saraswati Dental College, Lucknow, Uttar Pradesh, India
6Senior Lecturer, Department of Orthodontics and Dentofacial Orthopedics, Yogita Dental College, Khed, Maharashtra, India
*Address for Correspondence: Dr. Rohit Kulshrestha, Consulting Orthodontist, Private Practice, Mumbai, India, Email: [email protected]
Dates: Submitted: 28 December 2017; Approved: 10 January 2018; Published: 12 January 2018
How to cite this article: Wajid MA, Chandra P, Kulshrestha R, Singh K, Rastogi R, et al. Open bite malocclusion: An overview. J Oral Health Craniofac Sci. 2018; 3: 011-020. DOI: 10.29328/journal.johcs.1001022
Copyright License: © 2018 Wajid MA, et al. This is an open access article distributed under the Creative Commons Attribution License, which permits unrestricted use, distribution, and reproduction in any medium, provided the original work is properly cited.
Keywords: Open bite; Malocclusion; Aetiology
Abstract
Introduction
In 1842 Caravelli coined the term “open bite” as a distinct classification of malocclusion and can be defined in different manners. Some authors have determined that open bite, or a tendency toward open bite, occurs when overbite is smaller than the normal. One school of thought argues that open bite is characterized by end-on incisal relationships, while the others school of thought stated that no incisal contact be present before diagnosing open bite [1-5]. Open bite was defined by Subtelny and Sakuda [6], as open vertical dimension between the incisal edges of the maxillary and mandibular anterior teeth, although deficiency in vertical dental contact can occur between the anterior or the buccal segment.
Anterior open bite
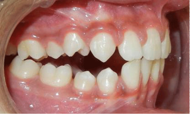
It is defined as a malocclusion with no contact in the anterior region of the dental arches, (Figure 1) and the posterior teeth in occlusion. It is called combined open bite when malocclusion extends to the posterior segment [7].
Among the malocclusions which are most commonly found in the clinic practice, the open bite is one of the most prevalent and is most difficult to treat. When the etiology is multi-factorial, the pathology causes aesthetic changes, damage to the articulation of certain phonemes and unfavourable psychological conditions [8,9], The open bite may have a dental, skeletal or combined etiology. The treatment of dental open bite can be easily done with fixed orthodontic therapy. However, a more comprehensive approach is required for the management of skeletal open bite which may require orthognathic surgical intervention. Dental open bite in growing patient can be treated with myofunctional appliances followed by retention period with orthodontic removable appliances10. Obstruction of the nose should be seen before and during the pubertal growth [11]. The hyper activity of the tongue, in the act of swallowing or even at rest, can alter the axial inclinations of the incisors which can lead to open bite [12].
Posterior open bite
Posterior open bite can be defined as failure of contact between the posterior teeth when the teeth occlude in centric occlusion (Figure 2).
In figure 2 we can see that there is no occlusion between the maxillary and mandibular premolars. The maxillary and mandibular molars have a slight contact. The anterior overjet and overbite is normal.
Classification
Classification of open bite by Worms, Meskin, and Isaacson (1971):
• Simple open bite - From canine to canine, with 4mm or more in centric relation.
• Compound open bite - From premolar to premolar.
• Infantile open bite - From molar to molar.
Types of open bite
False or Dental open bite: In this bite the teeth are proclined as there is no alteration of the osseous bases but it does not extend beyond the canine. This patient has normal facial morphology, a correct bone relation, a pesudo-bite and dento-alveolar problem [13,14].
True or Skeletal open bite: In this type of open bite the alveolar processes are involved or deformed and dolichofacial characteristics are also seen. This patient present’s hyper-divergency in maxilla, with their lower facial third and vertical dimensions increased [15].
According to the zone where open bite is located, they are divided into:
Anterior open bite: Anterior open bite from its etiological point of view are divided into two categories:
o Dental
o Skeletal
The dental anterior open bite results from dental eruption impediment.
The skeletal open bite is due to posterior facial growth.
• Posterior open bite: Posterior open bite is characterized by failure of number of teeth in either or both opposing buccal segments to reach occlusion although there is incisor contact.
It is seen rarely and can be because of
ο Tongue interposition
ο Disturbances in eruption (eg. ankylosis)
ο Primary failure of eruption
• Complete open bite [16-18].
Andrew richardson classified anterior open bite as:
• Transitional open bite:-This type of open bite occurs when the permanent teeth are erupting. Due to incomplete growth of dento alveolar region results in anterior open bite. Spontaneous corrections occur due to continued alveolar growth and average growth increment in lower anterior facial height.
• Digit sucking open bite:-Eruption of incisor teeth is impeded by digit sucking thus creating anterior open bite. Such open bites get corrected by retrieving the habit.
These open bites are rare in pubertal growth stages, but rarely persist in adult life.
Growth of dento alveolar process and up-righting of incisors tends to the spontaneous closure of anterior open bite.
• Anterior open bite due to local pathology:-Local pathological conditions leading to anterior open bite includes cyst, dilacerations, and ankylosis.
Dento alveolar growth is facilitated by appropriate surgical treatment for removal of local pathology.
• Open bite due to skeletal pathology:-Anterior open bite due to skeletal pathology or abnormality becomes apparent towards the end of the growth period.
Some of these conditions are cleft palate, craniofacial dyostosis, cleidocranialdyostosis, and achondroplasia.
• Non pathological skeletal open bite :-Non pathological skeletal group consists of three sub groups;
o Open bite in primary dentition stage but in the pre-pubertal and pubertal growth period closure is brought about by dento alveolar growth compensation. Thus, the incidence of open bite tends to decrease with advancing age.
o Open bite is apparent in pre-pubertal stage, but closes in pubertal stage and reappears in the post pubertal stage.
This is due to interplay between vertical facial growth and compensating dento alveolar growth which is sufficient to close the open bite. But in post pubertal stage vertical facial growth dominates and causes open bite.
o Third group presents most difficult clinical orthodontic problem, where facial growth dominates leading to gross anterior open bite as age advances [19].
According to Moyer’s:
• Simple open bite:-This type of open bite is confined to the teeth and alveolar process. The main problem regarding this type of open bite is failure of some of the teeth to meet the line of occlusion.
• Complex open bite:-This type of open bite is caused by primary vertical dysplasia. Complex open bite is frequently associated with Class-I and Class-II malocclusions and occasionally associated with Class III malocclusion
Aetiology
Anterior open bite like any other malocclusion is the result of certain causes either of the hereditary origin, that act prenatally or post-natally on the tissues of the oro-facial region.
Hereditary factors
The open-bite anomaly is most often associated with inherited facial growth. Horizontal skeletal dysplasias appear to be inherited thus dysplasias in the vertical plane may also be inherited [20].
Three major theories [21], in the recent years have attempted to explain determinants of craniofacial growth.
• Bone, like other tissues, is the primary determinant of its own growth [22].
• The determinant of skeletal growth is cartilage while bone respond secondarily and passively [23].
• The primary determinant of growth is the soft tissue matrix in which skeletal elements are embedded and both bone and cartilage are secondary follower’s [24].
Non-hereditary factors
• Subtelny and Sakuda [25], (1964) and Tulley [26], (1969), have stressed the abnormal functional patterns of the tongue, pernicious oral habits (Figure 3), abnormal swallowing patterns (Figure 4) and speech problems, all contributing to, and being part of, the open-bite phenomenon. A malfunction of the tongue can be a contributing cause or the result of an abnormal swallowing behaviour.
Figure 4: a) Effect of thumb sucking on palate and lower incisors, b/c) finger above nose during thumb sucking, d) thumb sucking during sleeping.
• According to Gershater [27], (1972), the site of the open bite deformity depends on which forces predominate, and the ability of the teeth and supporting structures to resist change. If, for example, there is an abnormal swallowing pattern and strong propelling forces of the tongue are directed forward, the chances are that there would be a tendency toward an anterior open bite. Also the severity of the anterior open bite is greatly influenced by the presence of pernicious thumb, finger or lip sucking, mouth breathing habits, and poor labial musculature.
Sucking habits
Various factors responsible for the degree of damage to the teeth and investing tissues due to the sucking habits are:
• Duration
• Frequency
• Intensity
• Location
Thumb sucking or finger sucking habit can be seen in a child up to the age of four to five years. This is considered to be a normal habit resulting in no permanent form of malocclusion. However, persistent thumb sucking continuing up to the mixed and permanent dentition age groups may well result in anterior open bite (Thompson and Popovich,1970) [28]. Some children actively suck their thumb or finger; others just allow the thumb to rest passively in the oral cavity. Variation in the intensity and the continuity of the habit will result in the malocclusions of varying severity. Persistent thumb sucking can cause an upward and forward force onto the anterior aspect of the maxillary complex.
Abnormal tongue function
The cause and effect relationship between abnormal tongue function and anterior open bite is not clear. Following four factors may be considered:
1) Activity
2) Posture
3) Age and growth
4) Adaptability (Graber-1972)
Activity: Neff and Kydd [29], (1966) felt that presence of tongue between the teeth alone was incapable to create an open bite. Whereas Proffit and Mason [30], (1975) considered that the resting position of the tongue was of more importance than the actual swallowing activity.
Posture: Any deviation from a harmonious relation of the cranium with mandible and tongue may precipitate as an open bite, similarly any organic obstruction in nasal passage may result in a forwardly position head with a forwardly placed tongue in lowered mandible [25]. These obstructions are usually seen as excessive growth of nasal cartilage and recurrent respiratory tract infection.
Age and Growth Factors: To compliment the growth of lower third of the face and to fulfil the dietary needs of an infant tongue occupies a large portion of the oral cavity. This legacy may be continued in later half of the life seen as Macroglossia (could be due to endocrine disorders) resulting in tongue thrust leading to open bite [25].
Adaptability: According to Bjork and Skieller (1962) an excessive backward rotation of mandible may result in an open bite with incompetent lips. Hyperactive mentalis muscle activity and tongue muscle activity may be required for circum oral seal during deglutition (Speidel et.al,1972) [32].
Iatrogenic Factors: Extrusion and distalization of molars will result in opening of mandibular plane seen as hyper divergent profile (Schudy1964)33. Similarly posterior cross bite correction with maxillary expansion will cause a wedging effect, clinically seen as an increased lower facial height.
The role of facial growth in anterior open-bite
According to Bjork (1969) growth rotation takes place as a result of two separate processes:
a) Differential vertical relationship between condylar growth, combined suture and alveolar growth of maxilla and mandible. If combined vertical growth of the nasal, zygomatic and frontal sutures and the extrusion of both the maxillary and mandibular molars exceed the vertical component of condylar growth, the mandible rotate clockwise [34]. Schudy (1963, 1965) [35,36], wrote that “clockwise rotation” is a result of greater vertical growth at the molar region than at the mandibular condyles, and extremes of this condition cause open-bite.
b) Direction of the growing mandibular condyle which could be vertical, sagittal (posterior and superior), or any direction in between. (Bjork, 1963) [37]. The clinical significance of these findings is apparent. Extreme variation in mandibular rotation can be seen as a factor in solving or compounding an existing problem. Anterior open-bite existing with backward rotating growth patterns will get worse. Growth, one assumed to be a valuable aid and correction of occlusal variations, is a liability when it occurs in the wrong place, and in the wrong amount. Skeletal open-bite pattern can be expected to get worse with continual growth. Droel and Isaacson [38], (1972), noted that backward rotating growth patterns had a more superiorly placed glenoid fossa. This effectively shortens an already shorter ramus. Recent work has suggested that the tongue grows at different rate to the surrounding dento-alveolar and muscular tissues, although it is relatively large in the young child, the tongue exerts relatively less influence as the child enters puberty and adulthood. This altered balance of “influence” may explain why some “tongue thrust open-bite” cases become self correcting, and even in endogenous tongue thrust cases, the open-bite after reduces with age [39].
Factors and characteristics of open bite
Open bite malocclusion is considered to be one of the most difficult problems to treat orthodontically. The causes of open bite are multi-factorial, which can develop from genetic and/or environmental factors. Generally open bite can be classified in two categories: skeletal and dental. Dental open bite can be treated with orthodontics therapy, but a true skeletal open bite may require surgical intervention along with orthodontic treatment. Open bite can manifest as an aesthetic, functional and psychological problems to patients. The functional problems comprise of defect in speech, mastication and deglutition resulting in impairment in child development. In mixed dentition open bite prevalence can be seen up to 17% (Worms, FW. et al) [40]. Recurrent adenoid infections may cause improper tongue position persistent infantile swallow accompanied with pernicious oral habits which can be seen as partial eruption of the incisors. Pernicious oral habits, such as digit or lip sucking, mouth breathing and tongue thrusting result in dento-alveolar anterior open bite. This can be readily corrected by orthodontic treatment alone. This is held true if the patient is diagnosed at an early age and the associated habits can be eliminated. Mouth breathing is usually associated with dry rhinitis with difficulty in speech specially with sputtering consonants. Vertical dento-facial dysplasia has a tendency to relapse. This occurs with deep bite as well as open bite malocclusions [41]. Vertical dysplasia seen as anterior open bite is multifactorial [42,43].
• Environmental Factors
a) Habits
b) Neuromuscular deficiencies
c) Trauma
d) Diseases
• Genetics
Environmental factors
Habits:-Pernicious oral habits like thumb, digit or lip sucking, mouth breathing and tongue thrust usually accompanied with macroglossia [44].
Neuromuscular deficiencies: Categorises the skeletal component of the open bite [45]. Leptoprosopic patients with muscular dystrophy show supra eruption of posterior buccal segment precipitating as anterior open bite [46].
Trauma: May be Skeleto-facial or dento-alveolar in nature. Pronounced anterior open bite is usually seen with condylar head trauma leading to arrested growth or ankylosis of the condyle present as an altered vertical growth of mandible. Dento-alveolar trauma specially to the incisors is seen as anterior open bite. Ankylosis of damaged teeth is seen before the patient completes growth [46].
Diseases: Degenerative diseases as idiopathic condylar resorption and juvenile rheumatoid arthritis are usually present with condylar resorption [47].
Genetics
Innate growth potentials are regulated by genetic constitution of the body. For example control of sagittal, transverse and vertical dimensions are usually inherited in the family such as Hapsburg jaw. Growth and growth rotations occurring in late maturation period are also attributed to the genetic pool of the patient. Facial types such as hyper and leptoprosopic allow the vertical eruption of molars, thus causing an excessive vertical skeletal pattern [48]. Relationship between the open bite and skeletal morphology have been extensively studied by Cangialosi (1984) [49].
The differences are as follows:
• Patients with open bite have a longer anterior facial height then the posterior facial height.
• Proportion of lower facial height is more than the upper facial height in open bite patient.
• The patient with open bite presents with large mandibular plane angle and gonial angle.
Conclusion
Open bite malocclusion is a difficult to treat in orthodontic practice. Treatment modalities include functional appliances in growing children and surgeries in adults. Minor cases can be treated by fixed orthodontics along with some habit breaking appliances. Relapse rates are highest in this type of malocclusion. Functional efficiency of the stomatological system is undermined in such cases. Extra care should be taken while diagnosing and planning treatment for such these cases as any error in identifying the etiology may lead to a poor end result.
References
- Alderico Artese, Stephanie Drummond, Juliana Mendes do Nascimento, Flavia Artese. Criteria for diagnosing and treating anterior open bite with stability. Dental Press J Orthod. 2011; 16:136-161. Ref.: https://goo.gl/NhJcLs
- Pithon MM. Angle Class I malocclusion with anterior open bite treated with extraction of permanent teeth. Dental Press J Orthod. 2013; 18:133-140. Ref.: https://goo.gl/Qe5xDy
- Cabrera Mde C, Cabrera CA, de Freitas KM, Janson G, de Freitas MR. Lateral open bite: Treatment and stability. Am J Orthod Dentofacial Orthop. 2010; 137: 701-711. Ref.: https://goo.gl/YSzD9i
- Shapiro PA. Stability of open bite treatment. Am J Orthod Dentofacial Orthop. 2002; 121: 566-568. Ref.: https://goo.gl/6cjZLc
- Cozza P, Mucedero M, Baccetti T, Franchi L. Early orthodontic treatment of skeletal open bite malocclusion: a systematic review. Angle Orthod. 2005; 75: 707-713. Ref.: https://goo.gl/goYmYb
- Subtelny JD, Sakuda M. Open Bite: diagnosis and treatment. Am J Orthod 1964; 50: 337-358. Ref.: https://goo.gl/djgwjt
- Moyers RE. Ortodontia. 4 ed. Trad. coord. Por Aloysio Cariello. Rio de Janeiro:Guanabara Koogan. 1991.
- Teittinen M, Tuovinen V, Tammela L, Schatzle M, Peltomaki T. Long-term stability of anterior open bite closure corrected by surgical-orthodontic treatment. Eur J Orthod. 2012; 34: 238-243. Ref.: https://goo.gl/rKKXMf
- Farret MMB, Tomé MC, Jurach EM, Pires RTT. Efeitos na mordida aberta anterior a partir do reposicionamento postural da língua. Ortodon Gaúcha. 1999; 3: 119-124.
- Kim YH, Han UK, Lim DD, Serraon ML. Stability of anterior openbite correction with multiloop edgewise archwire therapy: a cephalometric follow up study. Am J Orthod Dentofacial Orthop. 2000; 118: 43-54. Ref.: https://goo.gl/nFJktq
- Sodré AS, Franco EA, Monteiro DF. Mordida aberta anterior. J Bras Ortodon Ortop Facial. 1998; 3: 80-94.
- Pedrazzi E. Treating the open bite. J Gen Orthod. 1997; 8: 5-16. Ref.: https://goo.gl/qKaCZh
- Meyer-Marcotty P, Hartmann J, Stellzig-Eisenhauer A. Dentoalveolar open bite treatment with spur appliances. J Orofac Orthop. 2007; 68: 510-521. Ref.: https://goo.gl/ZTuyFr
- Rodriguez Esequiel, Casasa Rogelio. Ortodoncia Contemporanea. Diagnostico y Tratamiento. Editorial Actualidades Medico Odontologicas Latinoamerica C.A. Primera edicion. 2005.
- Chang Young, Cheol Moon Seong. Cephalometric evaluation of the anterior open bite treatment. AJO. 1999.
- Greenlee GM, Huang GJ, Chen SS, Chen J, Koepsell T, et.al. Stability of treatment for anterior open-bite malocclusion: a meta-analysis. Am J Orthod Dentofacial Orthop. 2011; 139: 154-169. Ref.: https://goo.gl/XuUaA1
- Ricketts, Robert. Tecnica bioprogresiva de Ricketts. Editorial Medica Panamerican. SA Pag. 95: 97. 30.
- Saadia Marc, Ahlin Jeffrey H. Atlas de Ortopedia dentofacial durante el crecimiento. Editorial Espaxs. SAP. 67: 80-81.
- Lawry DM, Heggie AA, Crawford EC, Ruljancich MK. A review of the management of anterior open bite malocclusion. 1990; 11: 147-160. Ref.: https://goo.gl/5bZY8B
- Justus R. Correction of anterior open bite with spurs: long term stability. World J Orthod. 2001; 2: 219-231. Ref.: https://goo.gl/n9LsPf
- Proffit WR. Contemporary orthodontics. The C.V. Mosby Company. 1986.
- Weinmann JP, schier H. Bone and bones fundamentals of bone biology. St. Louis. The C.V. Mosby Company. 1947.
- Scott JH. Dentofacial Development and growth Oxford. Pergamon Press. 1967.
- Moss M.L. The functional matrix in Kraus BS, Riedel RA. (Editors) Vistas in Orthodontics Philadelphia. Lea and Febiger. 1962.
- Subtelny DJ, Sukuda, M. open bite diagnosis and treatment. Am J Orthod. 1964; 50: 337-358.
- Tulley WJ. A critical appraisal of tongue thrusting. Am J Orthod. 1969; 55: 640-650. Ref.: https://goo.gl/KfXLhx
- Gershater MM. The proper perspective of open bite. Angle Orthod.1970; 42: 263-272. Ref.: https://goo.gl/A8GvH7
- Popovich F, Thompson GW. Thumb and finger sucking: It’s Relationship to malocclusion. Am J Orthod. 1973; 63: 148-155. Ref.: https://goo.gl/LF1wGU
- Neff CW, Kydd WL. The open bite physiology and occlusion. Angle Orthod. 1966; 36: 351-357. Ref.: https://goo.gl/kMoHZ9
- Proffitt WR, Mason RM. Myo- functional theory for tongue thrusting: Background and recommendations. American Dental Association, 1975; 90: 403-411. Ref.: https://goo.gl/1PeDBN
- Zuroff JP, Chen SH, Shapiro PA, Little RM, Joondeph DR, et.al. Orthodontic treatment of anterior open-bite malocclusion: stability 10 years post retention. Am J Orthod Dentofacial Orthop. 2010; 137: 302 -302.
- Speidel TM, Isaacson RJ, Worms FM. Tongue thrust therapy and Anterior dental open bite. Am J Orthod. 1972; 62: 287-295. Ref.: https://goo.gl/Z4tSGU
- Schudy FF. Vertial growth versus anterior posterior growth as releted to function and treatment. Angle. Orthod. 1964; 34: 75-93.
- Enlow DH. Postnatal facial growth: in forrester. DJ Wagner, M.L fleming, F (edn): Pediatric dental madicinephiladelphia: Lea and Febiges, 1981; 40-54.
- Graber TM. Orthodontic principle and practice. 3rd edition Philadelphia. WB Saunder Company. 1972.
- Gianelly AA. Craniofacial Growth and development: in Braham Rl, Morris, ME (eds) op. cit. 1980; 25-45.
- Goose DH, Appleton J. Human Dentofacial Growth oxford. Permagon Press. 1982.
- Coben SE. Growth and Cl. II treatment. Am J orthod. 1966; 52: 5-26.
- Enlow DH, Bang S. Growth and Remodelling of the Human Maxilla. Am J Orthod. 1965; 51: 446-464.
- Worms FW, Meskin LH, Isaacson RJ. Open bite. American Journal of Orthodontics. 1971; 59: 589-595. Ref.: https://goo.gl/zY1Dsa
- Cozza P, Mucedero M, Baccetti T, Franchi L. Early orthodontic treatment of skeletal open bite malocclusion: a systematic review. Angle Orthod. 2005; 75: 707-713. Ref.: https://goo.gl/UcEaQR
- Shapiro PA. Stability of open bite treatment. Am J Orthod Dentofacial Orthop. 2002; 121: 566-568. Ref.: https://goo.gl/co7EJ1
- Bilodeau JE. Nonsurgical treatment of a Class III patient with a lateral open-bite malocclusion. Am J Orthod Dentofacial Orthop. 2011; 140: 861-868. Ref.: https://goo.gl/bvTjmi
- Park YC, Lee HA, Choi NC, Kim DH. Open Bite Correction by Intrusion of Posterior Teeth with mini-screws. Angle Orthodontist. 2008; 78: 699-710. Ref.: https://goo.gl/ULQ5B1
- Togawa R, Lino S, Miyawaki S. Skeletal Class III and open bite treated with bilateral sagittal split osteotomy and molar intrusion using titanium screws. AngleOrthod. 2010; 80: 1176–1184. Ref.: https://goo.gl/sX8TPU
- Proffit WR, Bailey LJ, Phillips C, Turvey TA. Long-Term Stability of Surgical Open-Bite Correction by Le Fort I Osteotomy. Angle Orthod. 2000; 70: 112–117. Ref.: https://goo.gl/snEfCw
- Nielson I.L. Vertical malocclusions, etiology, development, diagnosis and some aspects of treatment. Angle orthodontist. 1991; 61: 247-257. Ref.: https://goo.gl/dsZDqn
- Torres FC, Almeida RR, Almeida-Pedrin RR, Pedrin F, Paranhos LR. Dentoalveolar comparative study between removable and fixed cribs, associated to chin cup, in anterior open bite treatment. J Appl Oral Sci. 2012; 20: 531-537.
- Cangialosi TJ. Skeletal morphologic features of anterior open bite. American Journal of Orthodontics. 1984; 85: 29-36. Ref.: https://goo.gl/daGTHi