Abstract

Case Report

Bone Compactness and Bad Split in the SSO (Sagittal Split Osteotomy) of the Mandible

Carmine Taglialatela Scafati* and Giuseppe Di Costanzo

Published: 14 October, 2025 | Volume 10 - Issue 1 | Pages: 001-006

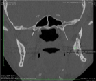
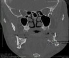
Sagittal split osteotomy (SSO) of the mandible is still an important part of orthognathic surgery, but “bad split” fractures that happen during the surgery are still a big problem. This report describes a rare case of bilateral bad split associated with highly compact mandibular bone (D1–D2 type) in a 53-year-old male undergoing mandibular advancement. The bone was too hard for the piezoelectric and rotary tools to work, and there was very little bleeding. This caused fractures in the cortex and lingual. Postoperative computed tomography confirmed the presence of highly dense bone, correlated with delayed healing and recurrence. Consistent pre-surgical CT scanning for an assessment of the density of the mandibular bone can provide essential information about the potential risk of the osteotomy procedure in the patient. Performing a careful bone quality and density examination pre-operatively will allow the surgeons to select the most appropriate instruments and surgical techniques that will fit the patient’s individual anatomy. Such a point escalates to being very significant when dealing with the geriatric population, as bone density increase can not only alter the fracture behavior but also the recovery process during and after surgery. The inclusion of regular CT-based bone density evaluations into the preoperative routine not only facilitates the anticipation of surgical difficulties but also results in safer and more efficient osteotomies.

Read Full Article HTML DOI: 10.29328/journal.johcs.1001051 Cite this Article Read Full Article PDF

Keywords:

Sagittal split osteotomy; Bad split; Mandibular bone density; CT evaluation; D1 bone; Orthognathic surgery

References

  1. Guernsey LH, DeChamplain RW. Sequelae and complications of the intraoral sagittal osteotomy in the mandibular rami. Oral Surg Oral Med Oral Pathol. 1971;32(2):176-92. Available from: https://doi.org/10.1016/0030-4220(71)90221-0
  2. Van Merkesteyn JP, Groot RH, van Leeuwaarden R, Kroon FH. Intra-operative complications in sagittal and vertical ramus osteotomies. Int J Oral Maxillofac Surg. 1987;16(6):665-70. Available from: https://doi.org/10.1016/s0901-5027(87)80050-4
  3. Kriwalsky MS, Maurer P, Veras RB, Eckert AW, Schubert J. Risk factors for a bad split during sagittal split osteotomy. Br J Oral Maxillofac Surg. 2008;46(3):177-9. Available from: https://doi.org/10.1016/j.bjoms.2007.09.011
  4. MacIntosh RB. Experience with the sagittal osteotomy of the mandibular ramusa 13-year review. J Maxillofac Surg. 1981;9(3):151-65. Available from: https://doi.org/10.1016/s0301-0503(81)80036-7
  5. Van Merkesteyn JP, Groot RH, van Leeuwaarden R, Kroon FH. Intra-operative complications in sagittal and vertical ramus osteotomies. Int J Oral Maxillofac Surg. 1987;16(6):665-70. Available from: https://doi.org/10.1016/s0901-5027(87)80050-4
  6. Mensink G, Verweij JP, Frank MD, Bergsma JE, van Merkesteyn JP. Bad split during bilateral sagittal split osteotomy of the mandible with separators: a retrospective study of 427 patients. Br J Oral Maxillofac Surg. 2013;51(6):525-9. Available from: https://doi.org/10.1016/j.bjoms.2012.10.009
  7. Acebal-Bianco F, Vuylsteke PL, Mommaerts MY, De Clercq CA. Perioperative complications in corrective facial orthopedic surgery: a 5-year retrospective study. J Oral Maxillofac Surg. 2000;58(7):775-80. Available from: https://doi.org/10.1053/joms.2000.7874
  8. Chrcanovic BR, Freire-Maia B. Risk factors and prevention of bad splits during sagittal split osteotomy. Oral Maxillofac Surg. 2012;16(2):119-27. Available from: https://doi.org/10.1007/s10006-011-0287-4
  9. Mehra P, Castro V, Freitas RZ, Wolford LM. Complications of the mandibular sagittal split ramus osteotomy associated with the presence or absence of third molars. J Oral Maxillofac Surg. 2001;59(8):885-8. Available from: https://doi.org/10.1053/joms.2001.25013
  10. Salman S, Young M, Van Sickels JE. Osteomyelitis after bilateral sagittal split osteotomy: case report and a review of the management. Oral Surg Oral Med Oral Pathol Oral Radiol Endod. 2011;111(4):442-8. Available from: https://doi.org/10.1016/j.tripleo.2010.06.003
  11. Teltzrow T, Kramer FJ, Schulze A, Baethge C, Brachvogel P. Perioperative complications following sagittal split osteotomy of the mandible. J Craniomaxillofac Surg. 2005;33(5):307-13. Available from: https://doi.org/10.1016/j.jcms.2005.04.005
  12. Guernsey LH, DeChamplain RW. Sequelae and complications of the intraoral sagittal osteotomy in the mandibular rami. Oral Surg Oral Med Oral Pathol. 1971;32(2):176-92. Available from: https://doi.org/10.1016/0030-4220(71)90221-0
  13. O’Ryan F. Complications of orthognathic surgery. Oral Maxillofac Surg Clin North Am. 1990;2(1):93-601.
  14. Turvey TA. Intraoperative complications of sagittal osteotomy of the mandibular ramus: incidence and management. J Oral Maxillofac Surg. 1985;43(7):750-4. Available from: https://doi.org/10.1016/s0278-2391(85)80028-8
  15. Veras RB, Kriwalsky MS, Hoffmann S, Maurer P, Schubert J. Functional and radiographic long-term results after bad split in orthognathic surgery. Int J Oral Maxillofac Surg. 2008;37(7):760-6. Available from: https://doi.org/10.1016/j.ijom.2008.04.010
  16. Lee SY, Yang HJ, Han JJ, Hwang SJ. Effect of perioperative buccal fracture of the proximal segment on postoperative stability after sagittal split ramus osteotomy. J Korean Assoc Oral Maxillofac Surg. 2013;39(5):217-23. Available from: https://doi.org/10.5125/jkaoms.2013.39.5.217
  17. Epker BN, Fish LC. Dentofacial deformities. St. Louis: Mosby; 1986;1:232-4. Available from: https://search.library.ucdavis.edu/discovery/fulldisplay?vid=01UCD_INST:UCD&tab=Everything&docid=alma990006424270403126
  18. Gilles R, Couvreur T, Dammous S. Ultrasonic orthognathic surgery enhancements to established osteotomies. Int J Oral Maxillofac Surg. 2013;42(8):981-7. Available from: https://doi.org/10.1016/j.ijom.2012.12.004
  19. Akhtar S, Tuinzing DB. Unfavorable splits in sagittal split osteotomy. Oral Surg Oral Med Oral Pathol Oral Radiol Endod. 1999;87(3):326-7. Available from: https://doi.org/10.1016/s1079-2104(99)70230-1
  20. Hounsfield GN. Computerized transverse axial scanning tomography. 1. Description of system. Br J Radiol. 1973;46(552):1016-22. Available from: https://doi.org/10.1259/0007-1285-46-552-1016
  21. Misch CE. Second vital implant criterion. Dental Today. 1988 :39-40.
  22. Trauner R, Obwegeser H. Zur Operationstechnik bei der Progenie und anderen Unterkieferanomalien. Dtsch Zahn Mund Kieferheilkd. 1955;23:11-26. Available from: https://www.scirp.org/reference/referencespapers?referenceid=1257402
  23. Dal Pont G. Retromolar osteotomy for the correction of prognathism. J Oral Surg Anesth Hosp Dent Serv. 1961;19:42-7. Available from: https://pubmed.ncbi.nlm.nih.gov/13719390/
  24. Shapurian T, Damoulis PD, Reiser GM, Griffin TJ, Rand WM. Quantitative evaluation of bone density using the Hounsfield index. Int J Oral Maxillofac Implants. 2006;21 https://pubmed.ncbi.nlm.nih.gov/16634501/
  25. Kingsmill VJ, Boyde A. Mineralisation density of human mandibular bone: quantitative backscattered electron image analysis. J Anat. 1998;192(Pt 2):245-56. Available from: https://doi.org/10.1046/j.1469-7580.1998.19220245.x
  26. Simpson W. Problems encountered in the sagittal split operation. Int J Oral Surg. 1981;10:81-6. Available from: https://doi.org/10.1016/s0300-9785(81)80016-6
  27. Muto T, Akizuki K, Tsuchida N, Sato Y. Modified intraoral inverted L osteotomy: a technique for good visibility, greater bony overlap, and rigid fixation. J Oral Maxillofac Surg. 2008;66(8):1309. Available from: https://doi.org/10.1016/j.joms.2007.03.034
  28. Landes CA, Stübinger S, Ballon A, Sader R. Piezoosteotomy in orthognathic surgery versus conventional saw and chisel osteotomy. Oral Maxillofac Surg. 2008;12(3):139-47. Available from: https://doi.org/10.1007/s10006-008-0123-7
  29. Nagadia R, Tay AB, Chan LL, Chan ES. The spatial location of the mandibular canal in Chinese: a CT study. Int J Oral Maxillofac Surg. 2011;40(12):1401-5. Available from: https://doi.org/10.1016/j.ijom.2011.07.904
  30. Agbaje JO, Sun Y, De Munter S, Schepers S, Vrielinck L, Lambrichts I, Politis C. CBCT-based predictability of attachment of the neurovascular bundle to the proximal segment of the mandible during sagittal split osteotomy. Int J Oral Maxillofac Surg. 2013;42(3):308-15. Available from: https://doi.org/10.1016/j.ijom.2012.07.012
  31. Plooij JM, Naphausen MT, Maal TJ, Xi T, Rangel FA, Swennen G, de Koning M, Borstlap WA, Berg SJ. 3D evaluation of the lingual fracture line after a bilateral sagittal split osteotomy of the mandible. Int J Oral Maxillofac Surg. 2009;38(12):1244-9. Available from: https://doi.org/10.1016/j.ijom.2009.07.013
  32. Song JM, Kim YD. Three-dimensional evaluation of lingual split line after bilateral sagittal split osteotomy in asymmetric prognathism. J Korean Assoc Oral Maxillofac Surg. 2014;40(1):11-6. Available from: https://doi.org/10.5125/jkaoms.2014.40.1.11
  33. De Oliveira RC, Leles CR, Normanha LM, Lindh C, Ribeiro-Rotta RF. Assessments of trabecular bone density at implant sites on CT images. Oral Surg Oral Med Oral Pathol Oral Radiol Endod. 2008;105(2):231-8. Available from: https://doi.org/10.1016/j.tripleo.2007.08.007
  34. Song YD, Jun SH, Kwon JJ. Correlation between bone quality evaluated by cone-beam computerized tomography and implant primary stability. Int J Oral Maxillofac Implants. 2009 ;24(1):59-64. Available from: https://pubmed.ncbi.nlm.nih.gov/19344026/
  35. Proffit WR, White RP, Sarver DM. Contemporary Treatment of Dentofacial Deformity. St. Louis: Mosby; 2003. Available from: https://books.google.co.in/books/about/Contemporary_Treatment_of_Dentofacial_De.html?id=fyNqAAAAMAAJ&redir_esc=y

Figures:

Figure 1

Figure 1

Figure 1

Figure 2

Figure 1

Figure 3

Figure 1

Figure 4

Figure 1

Figure 5

Figure 1

Figure 6

Figure 1

Figure 7

Figure 1

Figure 8

Figure 1

Figure 9

Similar Articles

Recently Viewed

  • Unveiling Disparities in WHO Grade II Glioma Care among Physicians in Middle East and North African (MENA) Countries: A Multidisciplinary Survey
    Fatimah M Kaabi, Layth Mula-Hussain*, Shakir Al-Shakir, Sultan Alsaiari, Leonidas Chelis, Renda AlHabib, Sara Owaidah, Renad Subaie, Marwah M Abdulkader and Ibrahim Alotain Fatimah M Kaabi,Layth Mula-Hussain*,Shakir Al-Shakir,Sultan Alsaiari,Leonidas Chelis,Renda AlHabib,Sara Owaidah,Renad Subaie,Marwah M Abdulkader,Ibrahim Alotain. Unveiling Disparities in WHO Grade II Glioma Care among Physicians in Middle East and North African (MENA) Countries: A Multidisciplinary Survey. Arch Cancer Sci Ther. 2026: doi: 10.29328/journal.acst.1001048; 10: 001-005
  • Obstructive Pyelonephritis Due to Postoperative Ureteral Stricture: A Case Report
    Ayoub Mamad*, Mohammed Amine Elafari, Mohammed Amine Bibat, Midaoui Moncef, Amine Slaoui, Tarik Karmouni, Abdelatif Koutani and Khalid Elkhader Ayoub Mamad*,Mohammed Amine Elafari,Mohammed Amine Bibat,Midaoui Moncef,Amine Slaoui,Tarik Karmouni,Abdelatif Koutani,Khalid Elkhader. Obstructive Pyelonephritis Due to Postoperative Ureteral Stricture: A Case Report. J Clin Med Exp Images. 2026: doi: 10.29328/journal.jcmei.1001039; 10: 003-005
  • Febrile Lumbar Pain Revealing a Massive Collection: Complicated Psoas Abscess Managed Surgically
    Mohammed Amine Elafari*, Mamad Ayoub, Mohammed Amine Bibat, Rhayour Anas, Maachi Youssef, Amine Slaoui, Tarik Karmouni, Abdelatif Koutani and Khalid Elkhader Mohammed Amine Elafari*,Mamad Ayoub,Mohammed Amine Bibat,Rhayour Anas,Maachi Youssef,Amine Slaoui,Tarik Karmouni,Abdelatif Koutani,Khalid Elkhader. Febrile Lumbar Pain Revealing a Massive Collection: Complicated Psoas Abscess Managed Surgically. J Clin Med Exp Images. 2026: doi: 10.29328/journal.jcmei.1001041; 10: 010-012
  • Bilateral Severe Encrustation of Long-Term Indwelling Double-J Stents in a Young Non-Lithiasic Patient
    Mohammed Amine Elafari*, Mamad Ayoub, Mohammed Amine Bibat, Maachi Youssef, Amine Slaoui, Tarik Karmouni, Abdelatif Koutani and Khalid Elkhader Mohammed Amine Elafari*,Mamad Ayoub,Mohammed Amine Bibat,Maachi Youssef,Amine Slaoui,Tarik Karmouni,Abdelatif Koutani,Khalid Elkhader. Bilateral Severe Encrustation of Long-Term Indwelling Double-J Stents in a Young Non-Lithiasic Patient. J Clin Med Exp Images. -0001: doi: 10.29328/journal.jcmei.1001042; 10: 013-015
  • Looking Beyond Common Causes of Renal Dysfunction: Renal GVHD and Thrombotic Microangiopathy after Allogeneic Transplant
    Taner Tan*, Ahmet Umur Topcu, Erdem Cig, Dilek Ertoy Baydar and Sinem Civriz Bozdag Taner Tan*,Ahmet Umur Topcu,Erdem Cig,Dilek Ertoy Baydar,Sinem Civriz Bozdag. Looking Beyond Common Causes of Renal Dysfunction: Renal GVHD and Thrombotic Microangiopathy after Allogeneic Transplant. Insights Clin Cell Immunol. 2026: doi: ; 10: 001-003

Read More

Most Viewed

Read More

Help ?