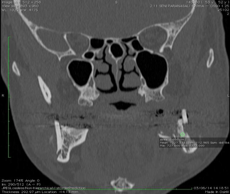
Figure 8

Bone Compactness and Bad Split in the SSO (Sagittal Split Osteotomy) of the Mandible

Carmine Taglialatela Scafati* and Giuseppe Di Costanzo

Published: 14 October, 2025 | Volume 10 - Issue 1 | Pages: 001-006

johcs-aid1051-g008

Figure 8:

Coronal CT section demonstrating fracture relationships and fixation plates.

Read Full Article HTML DOI: 10.29328/journal.johcs.1001051 Cite this Article Read Full Article PDF

More Images

Similar Articles

Recently Viewed

  • Unveiling Disparities in WHO Grade II Glioma Care among Physicians in Middle East and North African (MENA) Countries: A Multidisciplinary Survey
    Fatimah M Kaabi, Layth Mula-Hussain*, Shakir Al-Shakir, Sultan Alsaiari, Leonidas Chelis, Renda AlHabib, Sara Owaidah, Renad Subaie, Marwah M Abdulkader and Ibrahim Alotain Fatimah M Kaabi,Layth Mula-Hussain*,Shakir Al-Shakir,Sultan Alsaiari,Leonidas Chelis,Renda AlHabib,Sara Owaidah,Renad Subaie,Marwah M Abdulkader,Ibrahim Alotain. Unveiling Disparities in WHO Grade II Glioma Care among Physicians in Middle East and North African (MENA) Countries: A Multidisciplinary Survey. Arch Cancer Sci Ther. 2026: doi: 10.29328/journal.acst.1001048; 10: 001-005
  • Obstructive Pyelonephritis Due to Postoperative Ureteral Stricture: A Case Report
    Ayoub Mamad*, Mohammed Amine Elafari, Mohammed Amine Bibat, Midaoui Moncef, Amine Slaoui, Tarik Karmouni, Abdelatif Koutani and Khalid Elkhader Ayoub Mamad*,Mohammed Amine Elafari,Mohammed Amine Bibat,Midaoui Moncef,Amine Slaoui,Tarik Karmouni,Abdelatif Koutani,Khalid Elkhader. Obstructive Pyelonephritis Due to Postoperative Ureteral Stricture: A Case Report. J Clin Med Exp Images. 2026: doi: 10.29328/journal.jcmei.1001039; 10: 003-005
  • Febrile Lumbar Pain Revealing a Massive Collection: Complicated Psoas Abscess Managed Surgically
    Mohammed Amine Elafari*, Mamad Ayoub, Mohammed Amine Bibat, Rhayour Anas, Maachi Youssef, Amine Slaoui, Tarik Karmouni, Abdelatif Koutani and Khalid Elkhader Mohammed Amine Elafari*,Mamad Ayoub,Mohammed Amine Bibat,Rhayour Anas,Maachi Youssef,Amine Slaoui,Tarik Karmouni,Abdelatif Koutani,Khalid Elkhader. Febrile Lumbar Pain Revealing a Massive Collection: Complicated Psoas Abscess Managed Surgically. J Clin Med Exp Images. 2026: doi: 10.29328/journal.jcmei.1001041; 10: 010-012
  • Bilateral Severe Encrustation of Long-Term Indwelling Double-J Stents in a Young Non-Lithiasic Patient
    Mohammed Amine Elafari*, Mamad Ayoub, Mohammed Amine Bibat, Maachi Youssef, Amine Slaoui, Tarik Karmouni, Abdelatif Koutani and Khalid Elkhader Mohammed Amine Elafari*,Mamad Ayoub,Mohammed Amine Bibat,Maachi Youssef,Amine Slaoui,Tarik Karmouni,Abdelatif Koutani,Khalid Elkhader. Bilateral Severe Encrustation of Long-Term Indwelling Double-J Stents in a Young Non-Lithiasic Patient. J Clin Med Exp Images. -0001: doi: 10.29328/journal.jcmei.1001042; 10: 013-015
  • Looking Beyond Common Causes of Renal Dysfunction: Renal GVHD and Thrombotic Microangiopathy after Allogeneic Transplant
    Taner Tan*, Ahmet Umur Topcu, Erdem Cig, Dilek Ertoy Baydar and Sinem Civriz Bozdag Taner Tan*,Ahmet Umur Topcu,Erdem Cig,Dilek Ertoy Baydar,Sinem Civriz Bozdag. Looking Beyond Common Causes of Renal Dysfunction: Renal GVHD and Thrombotic Microangiopathy after Allogeneic Transplant. Insights Clin Cell Immunol. 2026: doi: ; 10: 001-003

Read More

Most Viewed

Read More

Help ?